Indice dell'articolo
Il miocardio non compatto (MNC) è una rara patologia del muscolo cardiaco caratterizzata da una marcata ipertrabecolatura parietale, dovuta all’arresto del processo di maturazione miocardica durante lo sviluppo fetale, che porta alla persistenza di strutture embrionali nel muscolo cardiaco. Nella definizione e classificazione delle cardiomiopatie stilata dalla World Health Organization nel 1995, tale anomalia viene annoverata tra le cardiopatie “non classificate”. Il miocardio non compatto e’ una malformazione cardiaca di recente acquisizione di cui non ancora si conosce completamente il significato clinico e di cui le conoscenza delle complicanze sono ancora mal definite e poco note.
Non sono stati ancora definiti dei criteri “gold standard” per la diagnosi; è inoltre necessaria la differenziazione da quadri parafisiologici e da altre cardiomiopatie. Sono suggestivi per il sospetto clinico la familiarità per la malattia, la coesistente presenza di malattia neuromuscolare, la presenza di fenomeni tromboembolici, di anomalie elettrocardiografiche, di aritmie ventricolari, di dilatazione e disfunzione ventricolare sinistra, di fibrosi alla risonanza magnetica, di mutazioni genetiche patogene. Molti aspetti del MNC rimangono tuttora controversi e dovranno essere chiariti con studi multicentrici, registri e studi osservazionali. Una diagnosi precoce è fondamentale per prevenire le possibili complicanze, tra le quali le più gravi sono lo scompenso cardiaco e le aritmie ventricolari che possono portare alla morte improvvisa.
Dal punto di vista genetico è sono state descritte mutazioni di almeno 14 geni, molti dei quali sono responsabili anche di altre cardiopatie (ipertrofica, dilatativa e sindrome di Brugada). I geni più importanti sono SCN5A ed MYH6 e LDB3. Circa due terzi dei pazienti con miocardio non compatto presenta segni e/o sintomi di scompenso cardiaco, che possono manifestarsi fin dai primi mesi d’infanzia o esordire più tardivamente. È noto che alcune forme di miocardio non compatto rientrano nei segni clinici delle distrofie muscolari (tra cui Duchenne, Becker ed Emery Dreifuss).
I pazienti con miocardio non compatto presentano una variabile combinazione di insufficienza cardiaca, aritmie ventricolari e tromboembolismo arterioso.
La complicanza più nota del MNC è lo scompenso cardiaco, che ha un andamento progressivo negli anni, e va quindi monitorata nel tempo con esami ecocardiografici e con risonanza cardiaca. Le altre tipiche complicanze importanti sono le aritmie ventricolari, incluso tachicardie ventricolari e fibrillazione ventricolare che possono portare a morte improvvisa. Infine, sono frequenti le complicanze tromboemboliche, dovute alla formazione di coaguli nella trabecolature parietali.
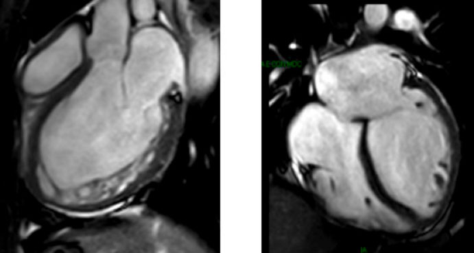
Il primo esame in caso di sospetto di MNC è l’ecocardiografia, che mostra aumentata trabecolatura delle pareti del ventricolo sinistro. La esatta definizione della malattia viene effettuata con la risonanza magnetica cardiaca, che permette di conoscere i rapporti fra miocardio non compatto, che di solito e prevalente nella parete basale e postero laterale del miocardio, e il miocardio contrattile. La RMNC deve essere ripetuta negli anni per cogliere l’evoluzione della malattia, in particolare il rapporto fra miocardio non compatto e miocardio contrattile.

Vanno infine ricercate le aritmie ventricolari, con Holter seriati ed eventualmente loop recorder impiantabile, particolarmente in caso di storia di sincope, e nel caso siano presenti aritmie ventricolari non sostenute si può effettuare lo studio elettrofiusiologico.
La terapia del MNC non è definita e va personalizzata a seconda delle manifestazioni cliniche. In particolare, la terapia mira alla prevenzione dello scompenso cardiaco, attraverso farmaci specifici, delle aritmie ventricolari potenzialmente fatali, attraverso l’impianto di defibrillatore, e dei fenomeni tromboembolici, attraverso farmaci anticoagulanti. Nei casi più gravi, in cui il MNC ha una evoluzione maligna, sia per la presenza di scompenso cardiaco che di aritmie ventricolari gravi e intrattabili, può essere necessario il sostegno del circolo attraverso VAD fino al trapianto cardiaco.

In generale, in caso di MNC non si può escludere che l’attività sportiva intensa, in particolare l’attività agonistica, favorisca la progressione della disfunzione ventricolare e aumenti il rischio di aritmie. Pertanto nei giovani che svolgono attività sportiva, la funzione e la struttura del miocardio vanno monitorate con particolare attenzione, attraverso ecocardiografia e RMNC, e si sconsiglia un’attività sportiva molto intensa.
Nei giovani con miocardio non compattato in assenza di sintomi, aritmie, e/o altre controindicazioni specifiche, l’idoneità ad attività sportiva agonistica viene generalmente concessa, riducendo l’intervallo tra i controlli per il rinnovo della idoneità. Le Linee Guida del Cocis del 2009 assimilano il rischio sportivo dell’individuo con miocardio non compatto a quello del soggetto con miocardiopatia dilatativa. Pertanto, i pazienti con MNC senza specifiche controindicazioni vengono generalmente dichiarare idonei per sport di fascia A come bocce, golf, tiro, cioè sport in cui aumenta la frequenza cardiaca da iperincrezione adrenanalinica senza tuttavia un marcato aumento della gettata cardiaca e della pressione arteriosa.
Hai bisogno di una visita genetica per sospetto di miocardio non compattato? Clicca qui